Fiche de Révision : Maladies Transmissibles et Santé Publique
Introduction générale
Les maladies transmissibles représentent un enjeu majeur de santé publique. Causées par des agents infectieux spécifiques ou leurs toxines, elles se transmettent d’un réservoir (personne, animal ou environnement) à un hôte susceptible. Leur étude implique la compréhension des agents pathogènes, des mécanismes de transmission, des facteurs influençant leur propagation, ainsi que des stratégies de lutte et de surveillance. Cette fiche synthétise ces notions clés, en intégrant également une perspective historique et épidémiologique contemporaine.
1. Fondements des maladies transmissibles
1.1 Définition
Une maladie transmissible est une affection provoquée par un agent infectieux spécifique ou par ses produits toxiques (toxines). Elle survient suite à la transmission de cet agent ou de ses produits d’un réservoir (personne infectée, animal, environnement inanimé) vers un hôte réceptif.
(Source : Heymann DL 2004, Control of Communicable Disease Manual)
1.2 Composantes de la chaîne de transmission
La transmission repose sur trois éléments essentiels :
- Agent pathogène : bactéries, virus, parasites, champignons, prions.
- Environnement : air, sol, eau, aliments, matériel souillé, animaux.
- Hôte réceptif : individu vulnérable pouvant développer la maladie (bébés, enfants, personnes âgées, immunodéprimés, non vaccinés).

1.3 Chaîne de transmission
La transmission d’un agent infectieux suit un processus en plusieurs étapes :
- Entrée / contamination : pénétration dans l’organisme par voie respiratoire, alimentaire, sexuelle ou materno-fœtale.
- Sortie / excrétion : sortie de l’agent via salive, selles, sécrétions ou lésions cutanées.
- Propagation : dissémination par réservoir (personne, animal, environnement), portage asymptomatique ou vecteur (organisme transmetteur, souvent un arthropode).

1.4 Facteurs influençant la maladie transmissible
Aspects individuels
- Sensibilité ou résistance de l’hôte.
- Nature et gravité de la maladie.
- Pouvoir pathogène (pathogénicité) et virulence de l’agent (espèce, souche, variant).
- Sensibilité ou résistance de l’agent aux traitements.
Aspects collectifs
- Cas isolé.
- Endémie : présence constante dans une région.
- Épidémie : augmentation soudaine de cas.
- Pandémie : épidémie à l’échelle mondiale.
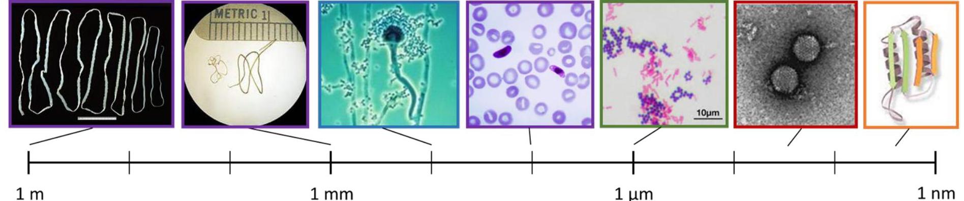
2. Agents pathogènes : diversité et caractéristiques
2.1 Classification des agents infectieux
Les agents responsables sont très variés :
| Catégorie | Description et exemples |
|---|
| Bactéries | Organismes unicellulaires procaryotes, formes variées (bacilles, cocci), Gram + ou -, opportunistes ou stricts. Ex : Neisseria meningitidis, Streptococcus pneumoniae, Mycobacterium tuberculosis. |
| Virus | Particules non cellulaires, composées d’une capside protéique et d’un matériel génétique (ARN ou ADN). Ex : virus de l’herpès, rougeole, varicelle. |
| Parasites | Eucaryotes uni- ou pluricellulaires, incluant protozoaires (ex. Plasmodium falciparum) et métazoaires (vers). |
| Champignons | Eucaryotes uni- ou pluricellulaires, responsables de mycoses superficielles ou systémiques. Ex : Candida albicans. |
| Agents transmissibles non conventionnels (prions) | Protéines anormales causant des maladies neurodégénératives (ex. maladie de Creutzfeldt-Jakob). |

2.2 Exemples d’agents pathogènes et maladies associées
| Catégorie | Agents pathogènes principaux |
|---|
| Bactéries | Neisseria meningitidis, Streptococcus pneumoniae, Haemophilus influenzae, Listeria monocytogenes, Escherichia coli, Mycobacterium tuberculosis |
| Virus | Herpès, entérovirus, rougeole, oreillons, varicelle |
| Parasites | Plasmodium falciparum, Toxoplasma gondii, Trypanosoma brucei |
| Champignons | Cryptococcus neoformans, Candida albicans, Aspergillus spp |
Exemple : Polyvalence pathogénique d’Escherichia coli
E. coli est une bactérie de la flore digestive, responsable de diverses maladies selon la souche :
- Gastroentérites :
- Souches entérotoxinogènes et entéropathogènes → diarrhée aqueuse (syndrome cholériforme).
- Souches entéroinvasives → diarrhée dysentérique.
- Souches entérohémorragiques → syndrome hémolytique et urémique (exemple : 56 cas liés aux pizzas Buitoni, 2 décès).
- Infections urinaires : cystite (contamination ascendante), pyélonéphrite (par continuité).
- Méningite.
2.3 Pouvoir pathogène et virulence
Définitions
- Pouvoir pathogène (pathogénicité) : capacité d’un agent à provoquer une maladie.
- Virulence : intensité de la maladie provoquée, liée aux facteurs spécifiques de l’agent.
Spécificité de l’hôte
Un agent pathogène cible des cellules spécifiques. Par exemple, le virus de la grippe infecte les cellules respiratoires grâce à :
- HA (Hémagglutinine) : fixation sur les acides sialiques des cellules ciliées.
- NA (Neuraminidase) : libération des nouveaux virions en clivant ces acides.

Facteurs de virulence
- Pouvoir invasif : fixation (pili, HA), résistance à la phagocytose (capsule).
- Destruction cellulaire (cytolyse).
- Pouvoir toxique : production de toxines (ex. toxine tétanique).
- Pouvoir réplicatif : multiplication dans l’hôte.
- Réponse immunitaire : inflammation, anticorps, lymphocytes T.
- Dissémination à distance : enzymes facilitant la propagation (ex. coagulase de Staphylococcus aureus).

2.4 Dose infectieuse et risque d’infection
- Le risque d’infection est probabiliste : plus la dose infectieuse est élevée, plus le risque augmente.
- DI₅₀ (Dose Infectieuse 50) : dose provoquant une infection chez 50% des sujets exposés.
- La DI₅₀ varie selon le pathogène et la souche.

3. Vecteurs et transmission
3.1 Notion de vecteur
Un vecteur est un être vivant qui transmet activement un agent infectieux d’un vertébré à un autre. La transmission peut être :
- Mécanique : transport passif de l’agent.
- Biologique : développement ou multiplication de l’agent dans le vecteur.
Les vecteurs sont principalement des insectes et acariens hématophages.
3.2 Exemples de vecteurs et maladies associées
| Vecteur | Maladie transmise |
|---|
| Moustique Anophèle | Paludisme |
| Moustique Aedes | Dengue |
| Tique | Maladie de Lyme |
| Mouche Tsé-tsé | Maladie du sommeil (Trypanosomiase) |

4. Histoire et évolution des maladies transmissibles
4.1 Grandes épidémies et pandémies historiques
Les épidémies ont profondément marqué l’histoire humaine par leur mortalité massive :
| Épidémie / Pandémie | Période | Nombre de morts estimés |
|---|
| Peste d’Athènes | 430 av. J.C. | ~100 000 |
| Peste antonine | 165-180 | 3,5 à 7 millions |
| Peste de Justinien | 541-542 | 25 à 100 millions |
| Peste noire | 1347-1351 | 25 à 50 millions |
| Grippe espagnole | 1918-1919 | 50 millions |
| Grippe asiatique | 1957-1958 | 1,1 million |
| Grippe de Hong Kong | 1968-1970 | 1 million |
4.2 Événements épidémiologiques historiques et facteurs
- Contact post-Columbus et colonisation européenne : diffusion de variole, rougeole.
- Guerres et commerce antique : propagation de peste et autres maladies.
- Commerce transatlantique d’esclaves : diffusion du paludisme P. falciparum.
- Voyages aériens récents : épidémie de SRAS (2002-2004).

4.3 Lutte contre les maladies transmissibles au XIXe siècle
Les bases de la santé publique et de l’épidémiologie se sont construites autour de la lutte contre ces maladies, avec des mesures telles que :
- Amélioration des conditions d’hygiène.
- Sécurisation de l’eau et des aliments.
- Isolement des malades.
- Vaccination et immunisation.
- Traitements curatifs : sérothérapie, anti-infectieux.


5. Transition épidémiologique et charge mondiale des maladies
5.1 Transition épidémiologique
La transition épidémiologique correspond à l’évolution des causes de morbidité et mortalité, passant d’une prédominance des maladies infectieuses à celle des maladies chroniques non transmissibles. Ce phénomène est lié à :
- Amélioration des conditions socio-économiques.
- Meilleure hygiène, nutrition, soins médicaux.
- Vaccination.
5.2 Tendances récentes (1990-2019)
- Diminution importante du fardeau des maladies transmissibles.
- Augmentation relative des maladies non transmissibles (cardiovasculaires, cancers, maladies respiratoires chroniques).
- Utilisation du Disability-Adjusted Life Years (DALYs) pour mesurer la charge globale.


5.3 Répartition mondiale de la charge de morbidité en 2019
| Maladies / Blessures | DALYs (millions) |
|---|
| Maladies cardiovasculaires | 393,11 |
| Cancers | 251,39 |
| Troubles néonatals | 185,89 |
| Autres maladies non transmissibles (NCDs) | 153,17 |
| Infections respiratoires et tuberculose | 153,05 |
| Troubles musculosquelettiques | 150,08 |
| Troubles mentaux | 125,31 |
| Diabète et maladies rénales | 112,73 |
| Blessures non intentionnelles | 103,59 |
| Maladies respiratoires | 103,53 |
| Troubles neurologiques | 97,72 |
| Infections entériques | 96,84 |
| Maladies digestives | 88,99 |
| Blessures liées au transport | 77,64 |
| Paludisme et maladies négligées | 62,9 |
| VIH/SIDA et IST | 56,2 |
| Autres maladies infectieuses | 51,41 |

5.4 Répartition en France en 2019
| Maladies / Troubles | Part (%) |
|---|
| Cancers | 21,28 |
| Troubles musculosquelettiques | 12,82 |
| Troubles neurologiques | 8,01 |
| Troubles mentaux | 7,96 |
| Blessures non intentionnelles | 6,94 |
| Autres NCDs | 6,75 |
| Maladies digestives | 3,42 |
| Diabète et maladies rénales | 3,27 |
| Maladies respiratoires | 3,22 |
| Maladies de la peau | 3,18 |
| Maladies des organes sensoriels | 2,59 |
| Troubles liés à l'usage de substances | 2,24 |
| Automutilation | 2,18 |
| Infections respiratoires et tuberculose | 1,75 |
| Blessures liées au transport | 1,53 |
| Troubles néonatals | 0,94 |
| Carences nutritionnelles | 0,77 |
| Infections entériques | 0,32 |
| Violence interpersonnelle | 0,27 |
| VIH/SIDA et IST | 0,17 |
| Troubles maternels | 0,03 |
| Paludisme et maladies négligées | 0,01 |
| Conflits et terrorisme | 0 |
| Catastrophes naturelles | 0 |

6. Maladies infectieuses aujourd’hui : données et surveillance
6.1 Principales maladies infectieuses et mortalité (2010)
| Maladie | Nombre de décès |
|---|
| Maladies diarrhéiques | 2,5 millions |
| Maladies respiratoires aiguës | 2,5 millions |
| Tuberculose | 150 000 |
| Paludisme | 150 000 |
| Rougeole | 150 000 |
6.2 Principales causes de décès mondiales (2017)
| Cause de décès | Pourcentage des décès |
|---|
| Maladies cardiovasculaires | 31,8 % |
| Cancers | 17,08 % |
| Maladies respiratoires | 7 % |
| Infections respiratoires basses | 4,57 % |
| Démence | 4,49 % |
| Maladies digestives | 4,25 % |
| Décès néonatals | 3,19 % |
| Maladies diarrhéiques | 2,81 % |
| Diabète | 2,45 % |
| Tuberculose | 2,12 % |
| VIH/Sida | 1,71 % |
| Paludisme | 1,11 % |

6.3 Évolution des épidémies mondiales (1980-2010)
- Analyse de 10 643 épidémies montre une augmentation constante du nombre d’épidémies.
- Virus et bactéries sont les agents les plus fréquents.
- Hausse des épidémies transmises par contact direct et vecteurs.
- Augmentation des zoonoses, notamment salmonellose.
- Malgré cela, le pourcentage de population infectée diminue grâce aux efforts internationaux (ex. Ebola, grippe H1N1).

6.4 Déterminants actuels des maladies transmissibles
- Amélioration globale : baisse de la mortalité et morbidité.
- Paradoxe : augmentation du nombre d’épidémies.
- Facteurs favorisant l’augmentation :
- Mobilité accrue des personnes et marchandises.
- Urbanisation rapide, déforestation.
- Changements climatiques modifiant la répartition des vecteurs.
- Résistance croissante aux anti-infectieux compliquant la prise en charge.
6.5 Maladies à déclaration obligatoire (MDO)
- 36 maladies à déclaration obligatoire en France, dont 34 infectieuses.
- Exemples : botulisme, brucellose, choléra, diphtérie, fièvre jaune, hépatite A et B, VIH, légionellose, paludisme autochtone, peste, poliomyélite, rage, rougeole, rubéole, tuberculose, Zika.
- Certaines maladies non infectieuses ou syndromes spécifiques aussi inclus.
6.6 Réseaux sentinelles en France
- Le réseau Sentinelles regroupe des médecins généralistes collectant des données épidémiologiques en continu.
- Surveillance de maladies infectieuses et autres indicateurs de santé.
- Indicateurs actualisés annuellement avec Santé publique France.
- Maladies surveillées en 2019 : actes suicidaires, coqueluche, diarrhée aiguë, infections respiratoires aiguës, IST bactériennes, maladie de Lyme, oreillons, varicelle, zona, syndromes grippaux.
Conclusion : Points clés à retenir
- Les maladies transmissibles résultent de la transmission d’agents infectieux entre réservoirs et hôtes réceptifs via des chaînes complexes.
- La diversité des agents pathogènes et leurs mécanismes de virulence déterminent la nature et la gravité des maladies.
- Les vecteurs jouent un rôle crucial dans la dissémination de nombreuses infections.
- L’histoire des grandes épidémies illustre l’impact majeur des maladies transmissibles sur les sociétés humaines.
- La transition épidémiologique montre une baisse globale des maladies infectieuses mais une montée des maladies chroniques.
- La surveillance épidémiologique et la lutte contre les maladies transmissibles restent des priorités, notamment face à l’augmentation des épidémies et à la résistance aux traitements.
Cette fiche offre une synthèse complète et structurée pour comprendre les enjeux des maladies transmissibles en santé publique, intégrant concepts biologiques, historiques, épidémiologiques et actuels.